Odontología que transforma sonrisas y eleva tu confianza.

Odontóloga
Valeria Vittone
Odontóloga Cirujana. Especialista en Rehabilitación Oral y Estética por la Universidad São Leopoldo Mandic, São Paulo.
Brindo atención integral con enfoque científico, funcional y estético, priorizando la seguridad, la planificación personalizada y resultados armónicos y duraderos.
Me caracterizo por una práctica clínica minuciosa, basada en evidencia y en la actualización constante, combinando precisión técnica con sensibilidad estética.
- ✦Atención clínica con enfoque integral y planificación personalizada.
- ✦Experiencia en estética y rehabilitación oral.
- ✦Docente universitaria en la cátedra de Biomateriales Dentales de la Universidad del Pacífico Paraguay.
- ✦Formación continua en cursos de estética dental y rehabilitación oral internacionales y nacionales.
Procedimientos
Odontología que transforma sonrisas y eleva tu confianza. Descubrí nuestras soluciones personalizadas con tecnología de vanguardia.
Carillas de resina
Estética inmediata para corregir forma y color de manera mínimamente invasiva.
Carillas de porcelana
Alta estética y durabilidad para un diseño de sonrisa definitivo.
Blanqueamiento dental
Devuelve el brillo y la blancura natural a tu sonrisa.
Limpieza dental
Prevención y salud gingival mediante remoción de placa y sarro.
¿Lista para transformar tu sonrisa? Agendá tu consulta hoy.
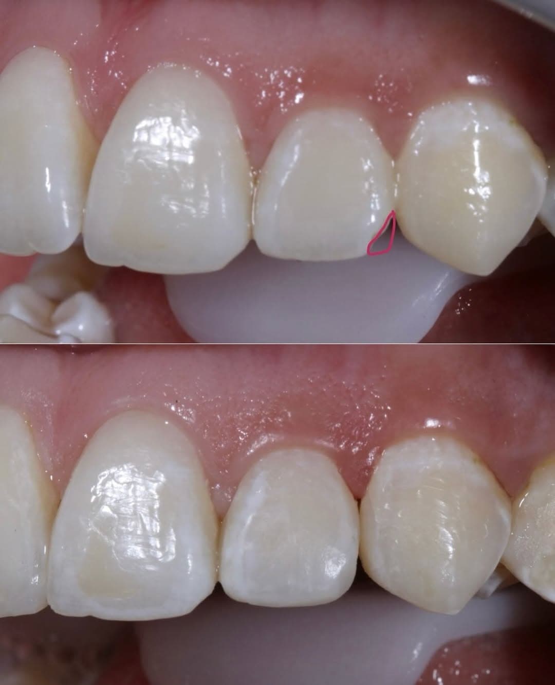
Casos de éxito
Transformaciones reales que devuelven la función y estética en armonía con cada rostro.
Imágenes con autorización. Resultados pueden variar según cada caso.
Imágenes con autorización. Resultados pueden variar según cada caso.
Esto dicen mis pacientes.
La Dra. Valeria te hace sentir súper cómoda desde que llegás. Explica todo con calma y trabaja con muchísimo detalle. Me encantó el resultado.
Camila M
Muy buena experiencia. La atención es tranquila, sin apuros, y se nota que cuida mucho cada detalle. Quedé muy feliz con mi sonrisa.
Adriana T
Fui con un poco de miedo y terminé súper tranquilo. La Dra. Valeria tiene una mano increíble y además explica todo muy claro
Diego G
Agenda tu cita.
Completá el formulario para que podamos coordinar tu consulta o brindarte más información sobre los procedimientos.
Contacto directo
- WhatsApp / Tel: 0981 202 770
- Email: Vrvittone016@gmail.com
- Instagram: @dra.valeriavittone




